علاج التهاب اللثة الشديد

علاج التهاب اللثة الشديد

علاج التهاب اللثة الشديد ان التهاب اللثة هو عبارة عن مشكلة…


علاج تورم اللثة طبيعيا

علاج تورم اللثة

كيفية علاج تورم اللثة للتخلص من الألم وتجنب الكثير من…


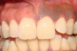
اسباب التهاب اللثة

اسباب التهاب اللثة

أهم اسباب التهاب اللثة وتأثيراتها الخطرة على صحة الإنسان…


علاج وجع الاسنان بالادوية

علاج وجع الاسنان بالادوية والمواد الطبيعية

علاج وجع الاسنان قد يحدث ألم الأسنان في السن أو من حوله،…


امراض اللثة

امراض اللثة الشائعة وتشخيصها وعلاجها

امراض اللثة امراض اللثة هي حالة التهابية تصيب اللثة والعظام…


مراحل تقويم الاسنان

مراحل تقويم الاسنان وحتى التركيب الفعلي

تنقسم مراحل تقويم الاسنان إلى 3 في الأغلب، ويمكن أن تقتصر…


ماهي ابتسامة هوليود

ماهي ابتسامة هوليود ؟

الابتسامة هي قدرة الشخص على التعبير عن مجموعة من العواطف مع…


علاج الم ضرس العقل

علاج الم ضرس العقل

ضروس العقل هي المجموعة الثالثة من الضروس التي تقع في الجزء…


التهاب ضرس العقل واعراضه

التهاب ضرس العقل : اسبابه اعراضة وعلاجه

يحدث التهاب ضرس العقل عندما لا يكون هناك مساحة كافية لخروجه…


اسباب تسوس الاسنان و العلاج

ما هي اسباب تسوس الاسنان

اسباب تسوس الاسنان وكيفية الوقاية منه تتعدد اسباب تسوس…


Privacy Preference Center